近日,哈尔滨医科大学附属第一医院泌尿外科二病房主任王春阳教授团队在达芬奇机器人辅助下,成功实施微创条件下“零缺血”双肾肿瘤切除术,最大限度地保留肾脏功能和完整切除双肾肿瘤。

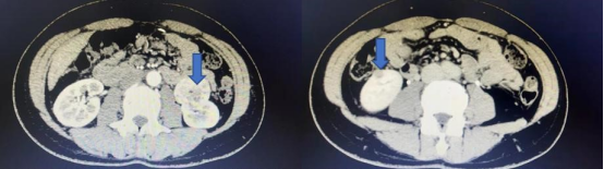
今年48岁的齐女士因体检发现左肾长了一个4公分大小的肿瘤,住院后为进一步明确诊断,完善肾脏增强CT,结果意外发现右肾也存在一个大小约1公分的肿瘤,王女士得知后决定完善全身PET-CT检查,PET-CT提示双肾病变,未见转移。王春阳告诉患者家属目前患者双肾肿瘤还没有转移,尽快手术是最好的治疗方案。为完整切除双侧肾肿瘤,并且最大限度保留肾脏功能,同时实现微创效果,在患者及家属积极要求下,王春阳团队决定为患者行机器人辅助腹腔镜下双肾肿瘤切除术。

王春阳介绍,双肾肿瘤一期同时切除手术难度较大,但同时机器人辅助腹腔镜手术系统对于双肾肿瘤一期切除有其独有的优势——切口仅仅增加一个即可完成双肾肿瘤的完整切除,并且可以最大限度地实现“零缺血”,即术中可不阻断肾动脉而完整切除肿瘤,最大限度的保留了肾脏功能,为患者之后的生活质量提供了保证。
在麻醉科、手术室及王春阳团队的通力协作下,依靠成熟的技术经验,手术得以顺利实施。双肾肿瘤都被完整切除,并且利用机器人工整的缝合了肾脏切口。术中创伤小,术后患者快速康复,切口小,愈合极佳,极大减轻了患者术后的疼痛,保证了微创的效果,也因为“零缺血”而最大限度保留了肾脏功能。
目前,哈医大一院泌尿外科二病房可开展多种机器人辅助微创手术,包括单孔前列腺癌根治术、肾癌伴肾静脉癌栓根治术,盆腔淋巴结清扫术,膀胱肌瓣输尿管成型术等多项高精尖术式,针对前列腺癌、肾积水、肾癌、膀胱癌、巨大嗜铬细胞瘤等疾病处于国内先进水平。此次应用机器人完成零缺血双肾肿瘤切手术,为黑龙江省双肾肿瘤患者的微创救治带来了新的选择和希望。