颈椎病已经成为当代十分常见的疾病,患病率逐年增加。颈椎病主要分为神经根型、脊髓型、椎动脉型和交感神经型,其中神经根型颈椎病发病率最高,疼痛最为严重。随着脊柱微创技术的发展和成熟,哈医大二院骨外科八病房(脊柱外科、脊柱微创外科)主任王新涛教授带领团队近期已成功开展多例颈椎后路脊柱内镜下“钥匙孔手术”治疗颈椎病,在解除患者疼痛的同时,保留了手术节段的运动功能,具有切口小、恢复快等优点,为神经根型颈椎病患者带来新希望。

哈医大二院骨外科八病房(脊柱外科、脊柱微创外科)主任王新涛教授(左)为患者实施颈椎后路脊柱内镜下“钥匙孔手术”(keyhole)
今年45岁的王女士(化姓)一直从事餐饮行业,长时间的低头工作导致她在五年前就患上了神经根型颈椎病。尽管长期的颈肩痛、右上肢疼痛给她的生活带来了极大的困扰,但是由于对开刀手术的恐惧,她一直选择保守治疗。一个月前,她的疼痛症状明显加重,颈肩部和右上肢的剧烈疼痛令她苦不堪言,还出现了肌肉力量下降,颈部和右上肢无力的症状。“白天得用两只手托着脖子才能坐起来,更别说走路了。晚上不吃药的话连三个小时都睡不了,后来吃止疼药也不好使了”。王女士自述道。

为了缓解疼痛,王女士只能用手托着下颌,维持头向左侧倾斜(健侧)的代偿性姿势
王女士四处寻医问药,数位经治医生都只给她两个选择:要么开刀做手术,要么回家保守治疗。目前保守治疗已无明显效果,开刀手术她十分拒绝。几经波折后,王女士慕名来到了哈医大二院寻求微创手术解决病痛。

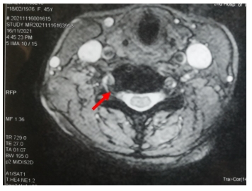
颈椎MRI示颈5-颈6椎间盘突出,压迫相应硬膜囊和神经根(红色箭头表示突出的间盘)
入院后王女士进行了全面检查,影像学结果显示患者第5-第6颈椎间盘突出特别明显,符合手术指征。综合考虑患者的病情和她对传统开放手术的抗拒,王新涛与患者及家属充分沟通后,决定为王女士做微创“钥匙孔手术”——颈椎后路脊柱内镜下颈椎管减压髓核摘除射频消融术。
王新涛表示,神经根型颈椎病的常规治疗方式包括保守治疗和传统的开放手术治疗,保守治疗无效时只能选择手术治疗。传统的开放手术切口相对较大、恢复较慢,让一些患者心生恐惧。而颈椎后路“钥匙孔手术”属于微创手术,采用局麻方式,通过术前精准定位,术中靶向穿刺,借助工作通道可直达突出的间盘位置,在脊柱内镜辅助下利用动力系统在颈椎椎板和关节突之间磨除少许骨质,形成一个直径6毫米左右“钥匙孔”大小的减压窗,在这个“钥匙孔”内完成突出髓核的摘除,手术切口仅有1厘米。手术全程患者始终保持意识清醒,无需气管插管和插导尿管,手术时间短,出血少。术后患者不但创伤小、痛苦小、恢复快,经济压力也非常小,住院期间整体花费不高,使患者更容易接受。
手术如期进行。王女士被局部麻醉后,王新涛仅在颈椎上切一个小口,在脊柱内镜下将突出的髓核顺利摘出,使神经得到充分的减压,压迫被解除,术后仅留1厘米左右的切口。手术过程中王女士全程保持意识清醒,四肢都可以活动,还能与医生进行对话并及时反馈手术效果。术中出血少许,手术十分顺利。术后患者的疼痛症状立即消失,胳膊不疼了,力量也恢复了。

术后,王女士恢复正常的颈椎姿势,疼痛消失

术后复查颈椎三维CT和颈椎MRI,可见第5-6颈椎间开了个类似钥匙孔大小的洞,并且神经压迫得到完全解除
哈医大二院骨外科主任闫景龙教授介绍,颈椎病在临床上比较常见,发病率高,且有年轻化的趋势,其中不乏中小学生患者。颈椎病的病因主要包括颈椎间盘退行性改变、长期慢性损伤、遗传等。少低头,适当进行颈肩部的功能锻炼,保持良好的生活和工作习惯是预防颈椎病的主要手段。一旦出现四肢麻木无力疼痛、双手精细动作笨拙、行走时双足踩棉花感等症状应尽早就医。患有神经根型颈椎病的患者往往会有神经根性刺激症状,表现为颈肩痛,短期内加重,并向上肢放射。在经过保守治疗无效后,有很多患者需要手术,但患者往往对传统的开放手术望而却步,耽误了解决疾病的最佳时间。颈椎后路脊柱内镜下颈椎管减压髓核摘除射频消融术具有切口小、术中出血少、痛苦小、恢复快、费用低等优点,术后第一天就能下地行走,在解除病痛的前提下尽可能减少了手术带来的副损伤,为神经根型颈椎病患者带来新希望。