中新网黑龙江新闻4月11日电(刘璐)4月15日-21日是第30个全国肿瘤防治宣传周,今年的主题是“综合施策科学防癌”。近年来,全球肿瘤发病率呈高发态势,早筛、早诊、早治至关重要。
除手术、化疗、放疗为主的治疗手段之外,微创介入治疗也独有特色,见效快、损伤小、花费少、可反复治疗等优势在实体瘤中应用越来越多。微创治疗的方式众多,包括TACE(C-TACE、D-TACE、R-TACE)、HAIC、射频、微波、冷冻、纳米刀、激光、放射性粒子等,可根据病人病情、肿瘤位置、大小等情况个体化选择微创治疗模式。
对于不可切除的中晚期肝癌患者,肝动脉化疗栓塞术(TACE)是主要的治疗方法,能明显提高中晚期肝癌患者的生存期,结合消融或粒子植入对多数病人可更好的提高疗效。
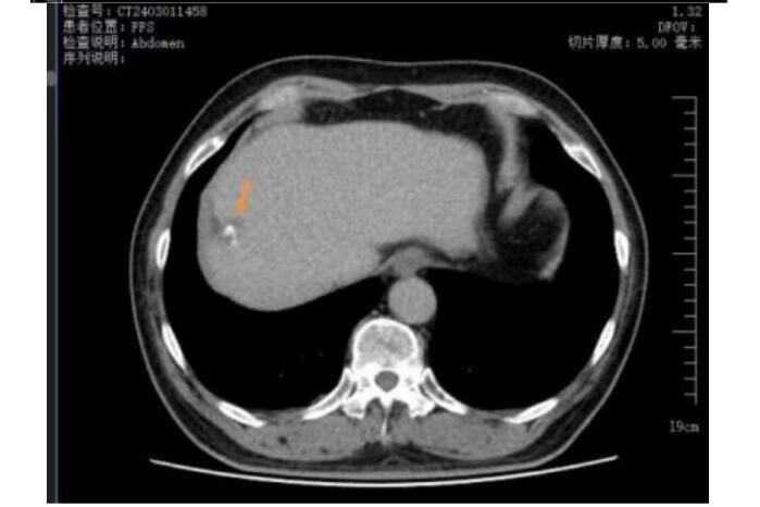
王先生(化名)65岁,2023年5月体检时发现肝占位,后行肝胆脾增强CT检查提示肝右叶富血供结节,径线约22mm*17mm,影像诊断考虑为肝恶性肿瘤,来到哈医大四院介入血管外科寻求进一步诊疗。患者行TACE术治疗后一周,接受了CT引导下冷冻消融治疗,术中患者疼痛轻微,术后患者恢复良好,三天后顺利出院。


术前上腹CT增强检查,考虑肝右叶恶性肿瘤


TACE联合冷冻消融


三个月复查图像 肿瘤完全灭活
时至今日,肝癌消融技术已经日臻成熟,能最大限度地保护正常肝组织和功能。

碘化油示踪小病灶准确穿刺消融

TACE联合射频消融
肝癌合并门静脉癌栓患者,可采取TACE、HIAC联合粒子植入并后续靶免联合治疗。

粒子治疗后门静脉通畅癌栓消失,肿瘤完全灭活
对于不同情况的其它肿瘤、微创治疗模式综合运用都能取得较好的效果。

骨转移病人粒子植入控制肿瘤并起到止痛作用

后腹膜腔巨大转移病灶经粒子治疗后完全消失

肺癌的支气管动脉灌注化疗与粒子植入

肺癌消融
哈医大四院介入血管外科熟练开展多项微创介入治疗技术,将血管介入与微创技术联合,根据病种病情个体化施治,科室配备射频、微波、冷冻消融与粒子植入等高精尖技术和经验丰富的医护人员,为肿瘤患者提供更多的治疗选择。
专家简介

杨 坡
哈医大四院介入血管外科 主任
主任医师 教授 博士研究生导师
专业擅长:
1993年从事介入工作至今,在外周血管及肿瘤微创介入治疗上经验丰富,累计完成各种复杂手术30000余例。擅长全身各种血管疾病的微创介入治疗,各种良、恶性肿瘤的微创介入诊疗。
2013年5月至2014年6月在美国圣路易斯华盛顿大学做访问学者,研究方向:血管介入成形术后再狭窄研究。
参编2018版《介入放射学》研究生规划教材及2018版《介入放射学》本科规划教材,担任《Cancer Research and Therapeutics》杂志编委,《中国介入影像与治疗学》杂志常务编委,《中华介入放射学》杂志编委,第一作者及通讯作者发表SCI及国内有影响力期刊60余篇,参与制定血管与肿瘤治疗权威专家指南及共识10部。
学术兼职:
世界冷冻治疗学会委员
亚洲冷冻治疗学会常务委员
中国医药教育协会介入微创治疗专业委员会副主任委员
中国抗癌协会肿瘤微创治疗专委会肺癌微创治疗分会副主任委员
中国抗癌协会肿瘤微创治疗专委会经血管治疗分会主任委员
第一届介入医学临床研究专家委员会副主任委员
第一届门脉高压专家委员会常务委员
中国抗癌协会肿瘤微创治疗专业委员会常务委员
中国肿瘤微创治疗专委会粒子治疗分会常务委员
中国医师协会介入医师分会常务委员
中国医师协会介入医师分会消融培训专家委员会常务委员
黑龙江省医学会介入诊疗分会副主任委员
黑龙江省医学会粒子治疗分会主任委员
黑龙江省医学会肿瘤微创治疗专业委员会副主任委员
出诊时间:周一、周二、周五全天

李 威
哈医大四院介入血管外科 副主任
医学博士 副主任医师 副研究员 副教授
专业擅长:
哈医大四院优秀医疗骨干,从事肿瘤和外周血管微创介入治疗工作13年,累计手术10000余例。
擅长门静脉高压TIPS治疗,糖尿病足、四肢动静脉血栓、血管畸形、动静脉瘘、血管瘤的微创介入治疗,下肢静脉曲张微创介入治疗,急性消化道出血、大咯血和产后大出血介入栓塞治疗,恶性肿瘤介入治疗、冷、热消融治疗,碘125粒子植入治疗,消化道、呼吸道、胆道、泌尿道介入治疗,股骨头坏死及子宫肌瘤介入治疗等方面均有较深造诣。曾于北京空军总医院深入研修TIPS技术。
主持黑龙江省重点研发计划项目1项、黑龙江省自然科学基金1项,省级课题及横向课题多项,获得黑龙江省卫健委科技进步奖1项,第一作者发表SCI及国内有影响力的临床及教学核心期刊20余篇、制定微创介入诊疗规范专家共识4项、编写十三五普通高等教育规划教材8部、编写血管和肿瘤介入微创治疗专著8部、编译肿瘤局部治疗学、介入放射学常见并发症处理专著3部。
学术兼职:
亚洲冷冻学会委员
中国医师协会介入医师分会青年委员
中国医药教育协会介入微创专委会委员
中国医药教育协会介入微创青委会常务委员
中国抗癌协会肿瘤超声治疗专委会委员
中国介入医学临床研究专委会委员
中国医师协会介入医师分会医学工程与生物学组委员
中国人体健康科技促进会肿瘤医学影像专委会委员
中国中医药学会中西医结合介入分会理事
中国老年医学学会肿瘤康复分会委员
中国民族卫生协会放射学分会委员
北京健康医促会肝胆胰中青年专委会委员
中关村肿瘤微创治疗创新战略联盟青委会委员
黑龙江省医学会介入诊疗专委会委员
黑龙江省医学会肿瘤微创治疗专委会委员
黑龙江省医学会肿瘤放射性粒子治疗专委会委员
黑龙江省抗癌协会肿瘤介入治疗专委会委员
黑龙江省抗癌协会肿瘤MDT专委会委员
黑龙江省中医药学会周围血管病专委会常务委员
联系方式:13936265626(微信同号)
出诊时间:周二、周三全天