眼科五病房是以青光眼诊治为主的专长病房,治疗各种类型青光眼,及伴有青光眼的各类白内障,尤其擅长复杂青光眼,复杂白内障,晶体疾病的联合手术,是极具特色的青光眼白内障专科病房。同时开展常见的眼表疾病如翼状胬肉手术,斜视手术及眼前节眼外伤手术等。
眼科五病房目前开展的先进技术及病种分为以下几大类:
一、青光眼类
针对原发闭角型青光眼、开角型青光眼、继发性青光眼的诊断和治疗规范。开展复合式小梁切除术,术中联合应用可调节缝线及抗代谢药物,结合术后手法按摩,有效预防术后瘢痕导致的青光眼复发。
1.闭角型青光眼
原发闭角型青光眼是眼科最常见的不可逆性致盲眼病,危害性大,发病率高。我科在青光眼的预防宣教,诊断,药物、激光、手术治疗及预后随访等方面具有最完善的设备和人员。


2.开角型青光眼
对开角型青光眼的诊断及药物治疗规范,检查完善。具有常年跟踪随访的专业团队。科室具有术中房角镜,前节OCT,Goldmann压平眼压计等先进检查仪器,针对每一个患者制定个性化治疗方案。



3.发育性青光眼
开展发育性青光眼的手术治疗,新技术应用,如小梁切除、小梁切开、外路及内路联合手术等,对疾病的发病机制和治疗理念对接学科前沿。


4.继发性青光眼
手术治疗各种类型复杂性继发青光眼,如葡萄膜炎继发青光眼、晶体脱位性继发青光眼、恶性青光眼、新生血管性青光眼等特殊类型青光眼的诊治具有丰富的经验和良好的预后效果。
(1)葡萄膜炎继发青光眼


(2)晶体脱位继发青光眼


(3)恶性青光眼


(4)新生血管性青光眼


二、白内障类
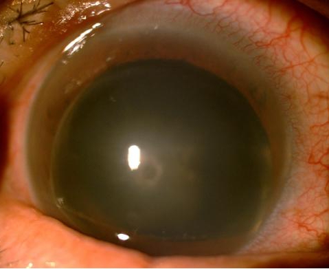
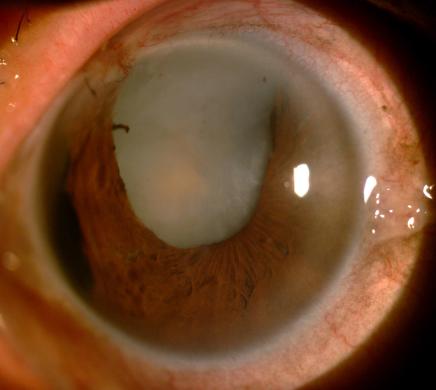
白内障是眼科第一大致盲眼病,我科开展现代白内障超声乳化手术治疗20余年,专治各种类型白内障,尤其对于治疗膨胀期白内障、过熟期白内障,高度近视并发性白内障,晶体脱位,人工晶体置换等各种复杂类型白内障拥有丰富的经验,熟练掌握人工晶体缝襻技术,张力环应用,前段玻璃体切除等先进手术技术。
1、过熟白内障及膨胀期白内障


2、人工晶体夹持继发青光眼


3、外伤性白内障


3、各种内眼手术后白内障


4、先天性白内障


三、青光眼白内障联合手术
针对青光眼的不同类型采取相应的手术方法,包括使用术中房角镜进行房角分离,小梁切除术联合白内障超声乳化摘出术等。


四、眼科常见病
1、翼状胬肉手术:角膜缘干细胞移植手术


2、眼睑肿物切除联合修复整形手术。


3、斜视矫正术




三、眼外伤类
开展眼外伤的一期急救及二期手术的处理,具有先进的理念及方法,最大限度的保护受损眼球。

