近期,哈尔滨医科大学附属第一医院骨一科毕郑刚、耿硕团队运用AIJOINT人工智能结合3D打印技术,成功为82岁高龄的老人实施了膝关节置换术,完成了哈医大一院在数字化骨科领域的又一突破,为受关节疾病困扰的高龄患者带来了福音。哈医大一院骨一科在曹杨主任带领下一直致力于发展传统骨科技术数字化改良。
82岁的(李)阿姨患有双侧膝关节骨性关节炎,走路困难,右侧膝关节屈曲受限,严重影响生活,很多人好奇为什么这么大岁数的老年人还要做手术?其实如果患病的老年人不做手术,那么行动不便,自己的生活就不能自理,老人自己也会有很多困扰。老话说“流水不腐”,老人有一个活跃的老年,也能够提高其生活质量和生命周期。尤其随着国家关节假体集采政策的实行,关节假体价格的下降大大减少了患者的治疗费用,同时又依然能够享受到优质假体带来的治疗。于是在家人的陪同下,阿姨来到了哈尔滨医科大学附属第一医院骨科就诊。
耿硕医生考虑到阿姨的年龄及身体状况,此时精准手术及快速康复的需求变得更为重要。出于这两个需求的考量,耿硕医生为吴阿姨进行了个性化的术前规划。术前利用AI智能规划技术精准定位截骨位置,在减少手术创伤的同时缩短了手术时间,还可提前预演截骨操作及假体置换后的效果;通过IPSI(Intelligent Patient-specific instrumentation)的使用,解决了传统的截骨器械内外翻角度固定、选择有限、股骨开髓带来的常规创伤的问题,可针对患者自己的内外翻角度定制更适合患者的个性化手术模式,无需股骨开髓减少出血量更适合老年患者。搭配集采中的最新一代膝关节系统Attune假体的植入,更高效的呈现了科技与高质量假体的术后效果,利于患者术后快速康复及提供给患者更好的术后体验。
术前:

(图一)通过AIJOINT进行术前精准定位

(图二)模拟截骨后假体安放


(图三)IPSI:智能患者个性化导板


(图四)带位点标记的患者膝关节3D模型
术中:


(图五)术中IPSI的应用
术后:


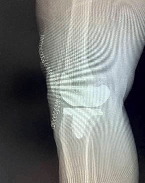
(图六)术后患者X光影相

(图七)术后第一天患者顺利完成高屈曲
哈尔滨医科大学附属第一医院骨科在王文波主任的带领下一直致力于专业技术的发展与人工智能在骨科诊疗中的应用,积极响应国家集采政策下高质惠民的方针,不断探索与努力为患者带去更精准、更安全、更高效、更微创的诊疗体验,为龙江百姓的健康保驾护航。